تۇغۇتتىن كىيىن ئالدىراپ قوساق قاتلاش ھەرىكىتى ئىشلەيمەن دىمەڭ
مەنبەسى : ئاشپەز تورى يوللىغۇچى : تەمزاتبەگ ۋاقتى : 2019-08-29 كۆرۈلىشى : قېتىم
ئۇلۇغۋار ئاياللار ئون ئاي قوساق كۆتۈرۈپ تۇغقاندىن كىيىن، ئانا بولۇشنىڭ خۇشاللىقىدىن ھۇزۇرلىنىش بىلەن بىرگە، ھامىلدارلىق ۋە تۇغۇت سەۋەبىدىن قوساق قىسىمدا شەكىللىنىپ قالغان ئارتۇق گۆشلەر سەۋەبىدىن ئىچى پۇشىدۇ. گۈزەللىككە ھەممە ئادەم ئىنتىلىدۇ؛ شۇڭلاشقا، ئانىلار چوقۇم تىز سۈرئەتتە ئۆزىنىڭ ئىلگىرىكى ئۇرۇق ھەم گۈزەل بەدەن شەكلىنى ئەسلىگە كەلتۈرۈشكە تىرىشىدۇ. بىراق، تۇغۇتتىن كىيىن قارىغۇلارچە قوساق قاتلاش ھەرىكىتى ئىشلەش، ئىلمى ئۇسۇل ئەمەس؛ ئۇنىڭ ئۈستىگە، بەدەنگە بولغان زىيىنى ئىنتايىن چوڭ.

تۇغۇتتىن كىيىنكى كۆپ قىسىم ئانىلاردا، بالا ئىمىتىش سەۋەپلىك بەدەن ئېغىرلىقىنىڭ تۆۋەنلىشى ۋە بەدىنىدىكى مايلارنىڭ خوراپ ئازىيىشى ئىنتايىن تىز بولىدۇ؛ بىراق، ئادەمنىڭ بېشىنى ھەممىدىن بەك قاتۇرىدىغىنى، بوشاپ ساڭگىلاپ قالغان "يوغان قوساق" بولۇپ، ئەگەر بەدەنگە چىڭراق كىلىدىغان ئىشتان-كىيىملەرنى كەيگەندە، قوساق ئىشتان بېغى ئۈستىدىن ساڭگىلاپ چىقىپ تۇرىدىغان بولۇپ قالىدۇ.
بۇ سەۋەپلىك، ئۆزىگە تەلەپنى بىرقەدەر يۇقىرى قويىدىغان ئانىلار، بۇنىڭغا تاقەت قىلالماي قوساق قىسىم مۇسكۇللىرىنى چېنىقتۇرۇش مەشىقى ئىشلەشكە باشلايدىغان بولۇپ، قوساق قاتلاش ھەرىكىتى ئىشلەش ئۇلارنىڭ ئالدىنقى تاللىشىغا ئايلىنىدۇ. قوساق قاتلاش ھەرىكىتى ئىشلەش، ھەقىقەتەنمۇ قوساق قىسىم مۇسكۇللىرىنىڭ كۈچىنىڭ يۇقىرى كۆتۈرۈلىشىگە پايدىلىق بولىدۇ؛ ئەمما، تۇغۇتتىن كىيىن ئالدىراپ بۇ خىل مەشىقنى ئىشلىسەك، بەلكىم چوڭ خاتالىق كەلتۈرۈپ چىقىرىشىمىز مۇمكىن.

ئادەمنىڭ يېراق ئەجدادى ئەسلىدە ئورانگوتان بولۇپ، ئافرىقا ئورمانلىقىدىكى دەرەخلەر ئۈستىدە سەكرەپ تاقلاپ يۈرۈش جەريانىدا، قۇيرۇق تەڭپۇڭلۇقنى ساقلاش رولىنى ئويناپلا قالماي، يەنە ئولتۇرغان ۋاقىتتا بەدەننى تىرەپ تۇرۇشقا ياردەملىشىش رولىنى ئوينايدۇ. بىراق، نەچچە مىليۇن يىللىق تەدرىجى تەرەققىيات جەريانىدا، ئىنسانلارنىڭ تەدرىجى ھالدا ئورمانلىقتىن چوڭ قۇرۇقلۇققا قاراپ يۆتكىلىشىگە ئەگىشىپ، قۇيرۇقنىڭ ئىقتىدارىغا قايتا ئىھتىياجلىق بولمايدىغان بولغان. شۇنىڭ بىلەن، ئىشلەتمىگەنلىك سەۋەبىدىن كەينىگە چىكىنىپ، قۇيرۇق بارغانسىرى قىسقىراپ، ھەرىكەت قىلىش ئىقتىدارىمۇ تەدرىجى ھالدا يوقالغان.

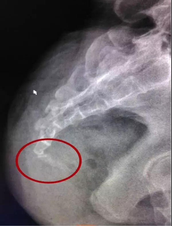
قۇيرۇق سۆڭەك(尾骨) ۋە توققۇز كۆز سۆڭەك(骶骨)، داس سۆڭەك بوشلۇقىنىڭ "ئارقا ھويلا تېمى"نى تەشكىل قىلىدىغان بولۇپ، قۇيرۇق سۆڭەك بىلەن توققۇز كۆز سۆڭەك بىرلىشىپ، ئوتتۇرلۇقتا پەقەت ئىنتايىن نىپىز ھەم سۈزۈك بولغان بىر پارچە كۈمۈرچەك ئايرىپ تۇرىدىغان ھەمدە ئاساسى جەھەتتىن ھەرىكەتلىنەلمەيدىغان، قۇيرۇق-توققۇز كۆز بوغۇمىنى شەكىللەندۈرگەن. بىراق، ھامىلدارلىق بوشىتىش ھورمۇنىنىڭ تەسىرى ئاستىدا، قۇيرۇق-توققۇز كۆز بوغۇمىنىڭ ھەرىكەتچانلىقى كۆرۈنەرلىك دەرىجىدە ئاشىدۇ، بۇنىڭدا قۇيرۇق سۆڭەك تۇغۇت جەريانىدا بالىنىڭ تۇغۇلىشىغا توسقۇنلۇق قىلىۋالمايدىغان بولىدۇ. تۇغۇتتىن كىيىنكى نەچچە ئاي ئىچىدە، قۇيرۇق-توققۇز كۆز بوغۇمى قايتىدىن قېتىشىدۇ؛ بۇندىن باشقا، ياشنىڭ ئېشىشىغا ئەگىشىپ، قۇيرۇق-توققۇز كۆز بوغۇمى ئارىسىدىكى سۈزۈك كۈمۈرچەكمۇ ئۆزلىكىدىن يوقايدىغان بولۇپ، قۇيرۇق سۆڭەك بىلەن توققۇز كۆز سۆڭەك پۈتۈنلەي بىرلىشىپ كىتىدۇ.

شۇڭا، تۇغۇتتىن كىيىنكى بۇ ئالاھىدە مەزگىلدە، قۇيرۇق-توققۇز كۆز بوغۇمى بوشىشىپ كىتىدىغان بولغاچقا، قوساق قاتلاش ھەرىكىتى، بەدەننىڭ ئۈستى قىسمى بىلەن ئاستى قىسمىنىڭ، قۇيرۇق-توققۇز كۆز بوغۇمى قىسىمدا قاتلىنىشىنى شەكىللەندۈرىدۇ؛ بولۇپمۇ نىسبەتەن قاتتىقراق بولغان يەر يۈزىدە قوساق قاتلاش ھەرىكىتى ئىشلىگەندە، ئاسانلا قۇيرۇق سۆڭەكنىڭ سۇنۇپ كىتىشىنى ياكى قۇيرۇق سۆڭەكنىڭ بۇ بوغۇم ئىچىدىكى ئىلىنچۈكنىڭ ئورنىنىڭ يۆتكىلىپ كىتىشىنى كەلتۈرۈپ چىقرىدىغان بولۇپ، قاتتىق ئاغرىق پەيدا قىلىدۇ، ھەتتا ئولتۇرالماسلىق ۋە ئۆرە تۇرالماسلىقنى كەلتۈرۈپ چىقىرىدۇ.

قۇيرۇق سۆڭەكنىڭ ئالدى تەرەپ، مەقئەت بىلەن تۈز ئۈچەي؛ ئەگەر قۇيرۇق سۆڭەك ئىچكى ئلىنچۈكىنىڭ ئورنى يۆتكىلىپ كەتسە ياكى قۇيرۇق سۆڭەك سۇنۇپ كەتسە، چوڭ تەرەت قىلىشقا تەسىر كۆرسىتىپ، قەۋزىيەتنى كەلتۈرۈپ چىقىرىدۇ.
قۇيرۇق-توققۇز كۆز بوغۇمى ئورنى، داس سۆڭەك بوشلۇقى مۇسكۇللىرى توپى ئاساسلىق ئورۇنلاشقان ئورۇن بولۇپ، قۇيرۇق-توققۇز كۆز بوغۇم سۇنسا ياكى ئورنى يۆتكىلىپ كەتسە، قۇيرۇق-توققۇز كۆز بوغۇمىنىڭ مەڭگۈلۈك شەكلى ئۆزگىرىپ كىتىشىنى پەيدا قىلىپ، تۇغۇتتىن كىيىنكى داس سۆڭەك بوشلۇقى مۇسكۇللىرىنىڭ ئەسلىگە كىلىشىگە تەسىر كۆرسىتىشى مۇمكىن.

ئەلۋەتتە، قوساق تۈز مۇسكۇللىرى ئايرىلىپ كەتكەن ئانىلارنىڭ، بەك بالدۇر قوساق قاتلاش ھەرىكىتى ئىشلىشىگە تېخىمۇ بولمايدۇ؛ چۈنكى، قوساق قاتلاش ھەرىكىتى، قوساق ئىچكى قىسىم بېسىمنىڭ ئېشىشىنى كەلتۈرۈپ چىقىرىپ، قوساق قىسىم تۈز مۇسكۇللىرنىڭ ساقىيىپ ئەسلىگە كىلىشىگە تەسىر كۆرسىتىپلا قالماي، يەنە تېخى ئىچكى ئەزانىڭ سىرتقى قىسىمغا بۆرتۈپ چىقىپ قېلىشىنىمۇ كەلتۈرۈپ چىقىرىشى مۇمكىن. ئوپراتسىيە قىلدۇرۇپ تۇغقان ئاياللارنىڭ سىرتقى تىرە يۈزى ۋە مۇسكۇللىرىدا جاراھەت ئېغىزى بار بولۇپلا قالماي، يەنە ئىچكى ئەزاسىدىمۇ جاراھەت ئېغىزى بار بولغاچقا، زور كۈچ بىلەن مەجبۇرى يېغىپ تارتىدىغان ھەرىكەت ئىشلەشكە ماس كەلمەيدۇ.

ئۇنداقتا، ئاياللار تۇغۇپ قانچىلىك ۋاقىتتىن كىيىن ئاندىن قوساق قاتلاش ھەرىكىتى ئىشلىسە بولىدۇ؟
ئەگەر ئۆزى تۇغۇت يولىدىن تۇغقان بولسا ھەمدە كۆرۈنەرلىك دەرىجىدىكى قوساق تۈز مۇسكۇللىرى ئايرىلىشى بولمىغان بولسا، تۇغۇپ ئۈچ ئايدىن كىيىن قوساق قاتلاش ھەرىكىتى ئىشلەشكە بولىدۇ. ئەگەر قوساق قىسىم تۈز مۇسكۇللىرى ئايرىلىپ كەتكەن ئەھۋال بار بولسا، ئەڭ ياخشىسى قوساق قىسىم مۇسكۇللىرى ئايرىلىپ كىتىش ساقىيىپ ئەسلىگە كەلگەندىن كىيىن ئاندىن ئىشلەش كىرەك. ئوپراتسىيە قىلىپ تۇغقان ئاياللارمۇ ئاساسى جەھەتتىن يۇقارقى ۋاقىت بويىچە ئىش كۆرسە بولىدۇ(جاراھەت ئېغىزىنىڭ ساقىيىشى ياخشى بولمىغان ئەھۋالدىن باشقا).